Abstract
A detailed study of chromosomes of two species of Indian inland fish revealed the chromosomal number and type. It describes the relation between the two species. Their peculiar morphological characters have been recorded. These karyological observations provide strong evidence to conclude that the two species are closely related and have phylogenetic links.
Introduction
Cytogenetics is the study of chromosome morphology and the behaviour of chromosomes during mitosis and meiosis. The chromosome number and its morphology is specific for a particular species. Fishes are of particular interest to Ichthyologists as well as cytogenetists as they occupy a very important position in the systematic differentiation of vertebrates. The benefits of this Karyological study among fishes are great values as fishes are economically important.
Karyological methods of ascertaining the taxonomic position of different species of fish have been in wide use in recent years among Russian and other ichthyologists (E. A. Salmenkova et al, 2005). The available data in fishes show that almost all forms of chromosomal rearrangements have played a role in the evolution of the fish karyotypes (E.D.Vasil’eva 2011).
Materials and Methods
Experimental species
Four different species of freshwater fish namely Catla catla Hamilton (Catla); Labeo rohita (Hamilton-Buchanan (Rohu);) were selected for the present study.
Maintainence in the laboratory:
The live animals were collected from Poondi fresh water aquaculture station and they were transported to the laboratory in oxygenated polythene bags and maintained in fiber glass tanks containing enough amount of water. The water was changed once a day and the fishes were given food adlibitum. The fishes were acclimatizes for about one week before the experiments were conducted. Feeding was stopped two days prior to the experiment. On the thirds day, the experimental fishes were injected with colchicine and introduced into the tank.
Chemicals required
Giemsa Stain
Prepared by dissolving 2ml of stock Giemsa solution and 2ml of 10% disodium hydrogen phosphate to 4.6ml of distilled water (PH 6.8).
Karyotyping
Procedure developed by Kligerman 1982 was followed with minor alterations.
Since blood samples could not be obtained in smaller fishes, chromosome preparation from the gill tissues were used for chromosome preparation.
Staining
The air dried slides were then stained with freshly prepared Giemsa staining solution (4%) for 15-18mts. The slides were then destained with distilled water and air dried. The slides were then screened for chromosomal spreads under the light microscope.
Chromosomal complement in Catla catla:
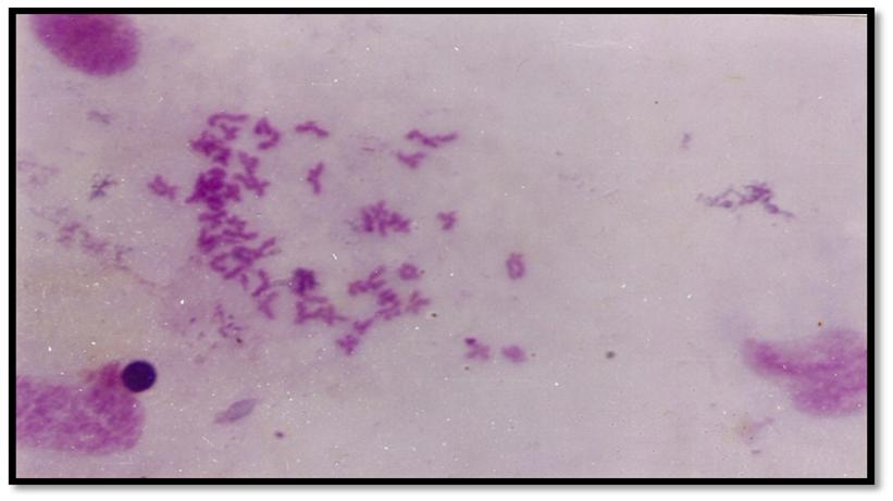
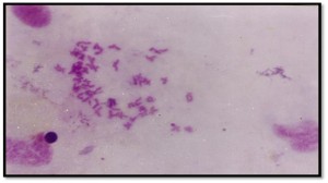
The total diploid number was found to be 50(2n=50). This was confirmed by observing 157 metaphase plates which showed the diploid number 50.
Based on the idogram individual karyomorphology of the diploid set was analysed and the chromosome length was measured. The length ranges from 8.5X10-3µ to 3.0 X10-3µ of the largest to the smallest chromosomes. In the diploid set four pairs are metacentric (4,9,15 and 20), Thirteen pairs are submetacentric (1,2,3,5,6,8,10,11,12,14,16,19 and 21) and remaining eight pairs are acrocentric (7,13,17,18,22,23,24 and 25). Relative length percent (RL%) ranges from 5.64 to 1.99. Nucleolar organiser region (NOR) and heterochromatin region (HCR) were also observed. (Fig 1, Table 1 and Plate 1 & 2).
An Idiogram of Catla catla.
Fig. 1: -
Table 1: Measurement of chromosomal complement of Catla catla.
Plate 2: Metaphase plate showing chromosomal complement 2n = 50 of Catla catla.
Chromosomal complement in Labeo rohita
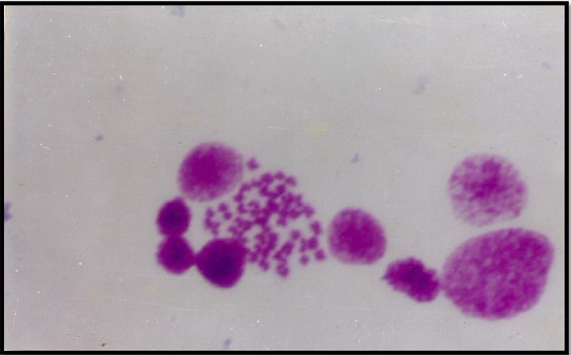
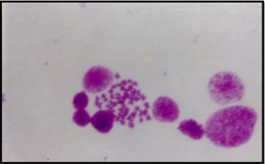
The diploid number was found to be 50(2n=50). This was confirmed by observing 133 metaphase plates which showed the diploid number 50.
The chromosomes are condensed in nature and darkly stained with distinct karyomorphology. Based on the idogram individual karyomorphology of the diploid set was analysed and the chromosome length was measured. The length ranges from 6.5X10-3µ to 2.2 X10-3µ of the largest to the smallest chromosomes. In the diploid set eleven pairs are metacentric (2,3,4,5,10,12,14,15,20,23 and 24), Remaining fourteen pairs are submetacentric (1,6,7,8,9,11,13,16,17,18,19,21,22 and 25) and remaining eight pairs are acrocentric (7,13,17,18,22,23,24 and 25). Relative length percent (RL%) ranges from 6.43 to 2.18. Nucleolar organiser region (NOR) was found in pair one and heterochromatin region (HCR) were observed in all the other pairs. (Fig 2, Table 2 and Plate 3 & 4).
An Idiogram of Labeo rohita.
Fig. 2: -
Table 2: Measurement of chromosomal complement of Labeo rohita.
Plate 3: Karyotype of Catla catla.
Plate 5: Metaphase plate showing chromosomal complement 2n = 50 of Labeo rohita.
Discussion
Diversity is a land mark of evolution. Each species is characterized by a specific chromosome complement commonly referred to as karyotype. Karyodiversity is mainly due to the variation in the position of centromere. Centromere is the special region of chromosome which gets firmly attached to mitotic spindle at the time of metaphase during cell cycle. These are usually observed during the early stage of cell division as non-staining gaps. The chromatids, both attached to the kinetochore part of centromere and to the spindle during metaphase which can be observed by the influence of a drug, colchicines. Besides the centromere, non-stained gaps in the form of secondary contriction is also a common feature of chromosomes.
During the early and late metaphase, the chromosomes reach maximum degree of condensation and contriction, to take part in the on-going chromosomal division. Hence, metaphase holds the secret of cell cycle and expresses the full complement of chromosomes in the somatic cells of a species is referred to as somatic number and designated as 2n. In the present study gill cells, conventional karyological technique of Kligerman and Bloom (1977) was adopted with due modification to suit the experimental fish. In the present study the diploid complement 2n was 50 in both the species of carps.
The number of chromosomes per cell is rather a conservation characteristic and may be used as an indicator of closeness of species, within families. The number and position of the arms of the chromosomes is even more conservative than chromosome number and is often equally useful in taxonomic studies.
Conclusion
In conclusion it is emphasized that the order Cypriniformes include fish groups which is not much variable from karyological point of view. But to analyse in detail the chromosome evolution processes and taxonomical relationship, it is necessary to collect more cytological banding methods.
References
- Abhay Singh Yadav, Anita Bhatnaga, Manjeet Kaur. 2013. Aberrations in the Chromosomes of Cirrhinus mrigala (Hamilton) upon Exposure to Butachlor Iranian Journal of Toxicology Volume 7, No 21.
- An L, Liu B S, Zhao Y H and Zhang CG. 2010. Protolabeo protolabeo, a new genus and a new species of labeonine fishes from the southwest China (Teleostei, Cyprinindae). Acta Zootaxonomica Sinica 35(3).
- Anshumala Chaturvedi, Vindhya Mohindra, Rajeev K. Singh, Kuldeep K. Lal, Peyush Punia, Ranjana Bhaskar, Anup Mandal, Lalit Narain, Lakra W S. 2010. Population genetic structure and phylogeography of cyprinid fish, Labeo dero (Hamilton, 1822) inferred from allozyme and microsatellite DNA marker analysis Mol Biol Rep (2011) 38:3513–3529, Published online: 4 December 2010_ Springer Science+Business Media B.V. 2010.
- Bogutskaya N G, Kucuk F and Atalay M A. 2007. A description of three new species of the genus Pseudophoxinus from Turkey (Teleostei: Cyprinidae: Leuciscinae). Zoosystematica Rossica 15(2):335-341.
- Dilkusha, Ponniah A G. 2001. Comparative cytogenetic studies in Indian major carps Labeo rohita, Catla catla and Cirrhinus mrigala (Cyprinidae, Pisces). Chromosome Sci Vol.5; No.3; Page.153-158.
- Eschmeyer W N and Fricke R. (eds.), 2011. Catalog of fishes. Updated internet version of 05 May 2011. Catalog databases of CAS cited in FishBase (website).
- FAO-FIES. 2010. Aquatic Sciences and Fisheries Information System (ASFIS) species list.
Reference Link - Galetti P M Jr., Aguilar C T and Molina W F. 2000. An overview of marine fish cytogenetics Hydrobiologia 420: 55–62, 2000
- Gopalakrishnan A and Basheer V S. 2000. Occurrence of Labeo rohita and Cirrhinus mrigala in Meenachil, Manimala and Pampa Rivers, Kerala. In: A.G. Ponniah and A. Gopalakrishnan (eds), Endemic Fish Diversity of Western Ghats, pp. 167-168. NBFGR-NATP Publication. National Bureau of Fish Genetic Resources, Lucknow, U.P., India.
- Hänfling B, Bolton P, Harley M and Carhalho GR. 2005. A molecular approach to detect hybridisation between crucian carp (Carassius carassius) and non indigenous carp species (Carassius spp. and Cyprinus carpio). Freshwat. Biol. 50:403-417.
- Huang Y F, Chen XY and Yang JX. 2007. A new labeonine fish species, Parasinilabeo longiventralis, from eastern Guangxi, China (Teleostei: Cyprinidae). Zool. Res. 28(5):531-538.
- Kim T. Scribner, Kevin S. Page and Meredith L. Bartron. 2001. Hybridization in freshwater fishes: a review of case studies and cytonuclear methods of biological inference Reviews in Fish Biology and Fisheries 10: 293–323, 2001.
- Kottelat M. 2007. Rasbora dies, a new species of cyprinid fish from eastern Borneo (Teleostei: Cyprinidae). Ichthyol. Explor. Freshwat. 18(4):301-305.
- Kligerman A D and Bloom S E. 1977. Rapid chromosome preparations from solid tissues of fishes. J. Fish. Res. Board Can. 34:266-269.
- Kligerman A D. 1982. The use of cytogenetics to study genotoxic agents in fishes. In: Cytogenetic assays for environmental mutagens,(Eds:T.C. Hsu, Allenheld). Osmum and Co., N.J., pp. 161-181.
- Kushwaha B, Nagpure NS, Srivastava, Satish K and Ponniah A G. 2002. Cytogenetic studies in two geographical stocks of Heteropneustes fossilis (Bloch). Indian Journal of Animal Sciences 72(4): 348-350.
- Liao TT and Tan HH. 2011. Brevibora cheeya, a new species of cyprinid fish from Malay peninsula and Sumatra The Raffles Bulletin of Zoology 59(1):77-82.
- Mezhzherin SV and Pavlenko L I. 2007. A Case of Hybridization in Loaches (Osteichthies: Cobitidae:Cobitis) Determining Genetic Instability and Expansion Cytology and Genetics, 2007, Vol. 41, No. 4, pp. 218–225. © Allerton Press, Inc., 2007 Original Russian Text © S.V. Mezhzherin, L.I. Pavlenko, 2007, published in Tsitologiya i Genetika, 2007, Vol. 41, No. 4, pp. 26–35.
- Santosh Sharma, Suman Kumaria, Pramod Tandon, Rao Rama Satyawada. 2012. Comparative karyomorphological study of some IndianCymbidium Swartz, 1799 (Cymbidieae, Orchidaceae) Comparative Cytogenetics 6 (4)(2012):453-46.
- Satish K. Srivastava, Kushwaha B, Nagpure NS, Sanjay Pandey, Shilpi Sharma, Ravindra Kumar and Verma M S. 2005. Genotoxic studies in Cyprinus carpio (Linneus, 1758) of river Yamuna Indian Journal of Fisheries 52(2): 235-239.
- Tripathy S K, Gaur K K and Sarangi N. 2013 Morphotypes vis-a-vis genetic parameters of Catla catla (Ham.) and Labeo rohita (Ham.) backcrosses African Journal of Biotechnology, vol. 12(36), pp. 5503-5512.
- Vasil’eva, Prazdnikov E D D V, and Vasil’ev VP. 2011. First Confirmed Occurrence of Syrman Goby Neogobius syrman (Gobiidae, Perciformes) in Sasyk Lake of the Black Sea Basin and Karyological Characteristic of Syrman Goby and Ginger Goby N. eurycephalus Journal of Ichthyology, 2011, Vol. 51, No. 7, pp. 513–520. © Pleiades Publishing, Ltd., 2011. Vol. 51, No. 4, pp. 472–479.
- Zhu Y, Zhang E, Zhang M and Han Y Q. 2011. Cophecheilus bamen, a new genus and species of labeonine fishes (Teleostei: Cyprinidae) from South China. Zootaxa 2881:39-50.
- Zhang S M. 1990. Inducing polyploidy and Karyological studies in Indian major carps Catla catla (Ham.), Labeo rohita (Ham.) and Cirrhinus mrigala (Ham.) and in eight other freshwater species of fish. A Report. The secondment of young Scientist Programme. (April 19, 1989–April 18, 1990). CIFA (ICAR).
- Zhang S M and Reddy P V G K. 1991. On the comparative karyomorphology of three Indian major carps, Catla catla (Ham.), Labeo rohita (Ham.) and Cirrhinus mrigala (Ham.) Aquaculture. 97:7–12.



